Bildegalleri
Overtagelse av leasingavtale Esaote Mylab A50
Til salgs
Beskrivelse av varen
Tilstand: Som ny - Ikke synlig brukt
Ønsker du å overta et av de beste ultralydmaskinene i mellomklassen?
Overtagelse av leasingavtale for Esaote Mylab A50.
Et av de beste apparatene i mellomklassen for MSK ultralyd (muskel og skjelett). Apparatet fremstår som nytt. Leveres med lineær probe. Avtalen ble tegnet for ca. 6 måneder siden og det gjenstår ca. 4 år av eksisterende leasingavtale. Overtager av leasingavtalen betaler ikke full leasingkostnader før enn i JANUAR 2027.
Apparatet er lokalisert på Gjøvik, Innlandet.
TILBUD:
Selger betaler full leasingkostnader fram til juni 2026. Etter dette deles leasingkostnadene 50/50 ut resten av året 2026 mellom selger og ny overtager av leasingavtalen. Overtager av leasingavtalen betaler full leasingkostnader fra januar 2027.
AdCare låner ut GRATIS flightcase til leasingobjektet for enkel og trygg transport av leasingobjektet. I tillegg kan AdCare bistå med GRATIS digital opplæring av leasingobjektet.
Ved overtagelse av leasingavtalen mottar overtager ultralydgéle (ca. 5 ufarget 260ml ultralydgéle-flasker).
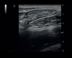
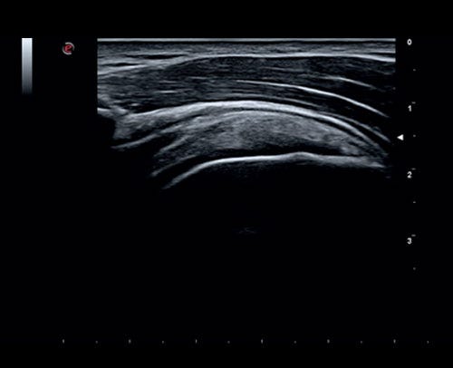
Apparatet benytter kunstig intelligens (KI) og nyeste teknologi fra Esaote for å skape skarpe gode ultralydbilder. Med MyLibrary kan selv en nybegynner innen MSK ultralyd skape gode bilder og enkelt bruke apparatet med markedets beste lineære probe. MyLibrary fungerer som et lett tilgjengelig oppslagsverk samtidig som man kan skanne i sanntid og sammenligne med oppslagsverket i MyLibrary.
Spesifikasjoner:
-Ingen fokuspunkter - AI optimalisert
-Stor 13" touchskjerm.
-Ny generasjon lineærprober med robust design og frekvens opp til 24 Mhz.
-Kraftig forbedret bildekvalitet både overfladisk og i dypet med sofistikert speckle redusjonsteknologi og kunstig intelligens
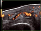
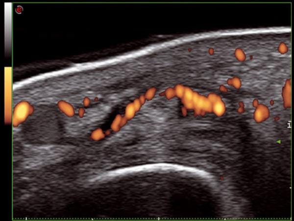
-Forbedret farge- og powerdoppler med økt sensitivitet som er raskere og mer responsiv.
-Live skanning på hovedskjerm og berøringsskjerm.
-Høydejusterbart konsoll
Om apparatet:
MyLab™A50 er virkelig en ny ultralydplattform. Ultrakompakt og stillegående. Med dedikerte prober, designet og optimalisert for MyLab™A50, vil du sette pris på bildekvaliteten og robustheten. Designet for rask arbeidsflyt gjennom et enkelt brukervennlig kontrollpanel og en bred touchskjerm, kombinert med flere AI baserte automatiseringsverktøy. A50 vil bli en effektiv og pålitelig partner i din kliniske hverdag slik at du kan fokusere på det som virkelig betyr noe: dine pasienters helse.
MyLab™A50 er en sammenfatning av Esaotes misjon: Mer i mindre. Det betyr kraftigere maskinvare, innovativt design, solid konstruksjon og et bredt utvalg av funksjoner. Alt er skreddersydd for å møte og overgå dine forventninger innenfor ditt spesifiserte miljø. Med MyLab™A50 tilbyr vi deg muligheten til å gjennomføre et omfattende utvalg av undersøkelser, som spenner over muskel-skjelett, akuttmedisin, anestesi, hjerte, ØNH, obstetrikk/gynekologi, vaskulær, bryst og pediatriske studier.
MyLab™A50 fra Esaote, har hurtig oppstart på under 10 sekunder og masse ny funksjonalitet som AVF(auto visual focus), E-scan, V-pan, Easymode, EasyColor mv. Naturligvis HDMI for tilkobling av stor ekstern skjerm på kontoret ditt og mulighet for wifi for bildedeling og printer. Nå med ny multifrekvent lineærprobe L15-3E, med frekvens fra 15-3 MhZ. Apparatet kan utvides med flere lineærprober, konveksprobe, microkonvevs, hjerte m.v. Foruten skannebibliotek har vi også nytt og godt injeksjonsprogram som hjelper deg å se nålen når du skal gjøre/begynne med injeksjoner.
Den brede 13-tommers berøringsskjermen kan skannes på samtidig som man skanner på hovedskjermen. Slik kan du enkelt skanne og dele skjerm med pasient eller kollega. Skjermen er unik i sin kategori, sammen med det intuitive og tilpasningsbare grensesnittetet. Slik gjør du raskere undersøkelser og du kan redusere tiden for å stille en diagnose.
Klar og tydelig design
MyLab™A50 ultralydsapparat er din profesjonelle partner som leverer topp produktivitet med arbeidsflytdrevet design og ultimat sikkerhetsteknologi i datainnsamling, administrasjon og deling.
-Intelligent og komfortabel touchskjerm
-Komfortabel skriveopplevelse og bygget for å vare
-Dedikerte MSK presets
-MyLab™A50 leverer en suveren bildekvalitet i overflate- og dybdeskanninger enten det er finger, skulder, kne, ankel eller hofte. Ny teknologi bl.a. M-view Clear gir forbedret dybdepenetrasjon og moderne hardware gir rask responstid og økt framerate (bilder pr. sek.) Dynamiske ultralydundersøkelser blir tydelige og mer effektive. Sammen med en forbedret post-prosesserings algoritme og sofistikert X-view Clear «speckle» reduksjonsteknologi setter dette nye apparatene fra Esaote, en ny standard for innstegsmodeller. Gjenkjennelig Esaote design, men nytt touch-og kontrollpanel. Naturligvis SSD disk, Windows 10, ny stor 21,5″ medisinsk skjerm og nye teknologier som gjør at undersøkelsene dine går raskere. Apparatet tar virkelig MSK ultralyd til ett nytt nivå i det midtre prissegmentet.
Markedets beste lineær probe:
Den beste lineær probe fra Esaote noensinne! Robust probe med frekvenser fra 15-3 Mhz. Esaotes multifrekvens teknologi gir uovertruffen bildekvalitet i overflaten og på dypere strukturer. Her får du premium bildekvalitet innen hele frekvensområde. Sterkt forbedret doppler med høyere sensitivitet som er raskere og mer responsiv på lave flow. Power- og fargedoppler frekvenser på 4,2Mhz, 4.5, 5,0Mhz, 5.6Mhz, 6,3Mhz, 7,1Mhz, 8.3Mhz og 10Mhz Proben er svært ergonomisk og lett å manøvrere.
Når apparatet skal stå på kontoret er viftestøy irriterende. MyLab A50 har SSD disk og moderne teknologi som gjør at apparatet er helt stille. Apparatet er 50% raskere enn tidligere apparater modell X5. Apparatet har det laveste støynivået av alle stasjonære apparater på markedet. Det kan stå i drift på kontoret hele dagen. Det betyr at du oftere tar det i bruk og raskere får gjort undersøkelsen. Den medfølgende programvare, Mylab Desk gjør det enkelt for deg å etterbehandle bilder(for eksempel gjøre målinger/eller dele med kolleger) på egen PC.
Et bærekraftig ultralyd valg.
MyLab™A50's lave strømforbruk gjør apparatet til et miljøvennlig valg. Ved å minimere energiforbruket bidrar det til effektivitet samtidig som det reduserer sitt karbonavtrykk, noe som gjør det til et ansvarlig valg for helsevesen og andre miljøer. Totalt sett fremstår MyLab™A50 som en pålitelig og tilpasningsdyktig løsning, som tilbyr en balanse mellom funksjonalitet, bekvemmelighet og bærekraft.
Ultrasound Imaging Beyond Efficiency, Flexibility and Ease.
Nye A50 og A70 er fantastiske ultralydapparater. En ny generasjon ultralydapparater lanseres nå fra Esaote. Nyutviklet MSK software og nye prober gir forbedret bildekvalitet. Legger du til at apparatene er intuitive og enkle i bruk så er de overlegne sammenlignet med tidligere lignende ultralydapparater.
Læringsbiblotek (MyLibrary):
Ny læringsbiblotek med komplette projeksjoner innen MSK, Raumatologi, Abdomen, Anestesi, FAST, m.v. Biblioteket inneholder over 300 projeksjoner med detaljerte beskrivelser av projeksjoner, strukturer og forslag til hvordan proben skal holdes. Biblioteket projeksjoner kan kombineres med «live» Ultralyd. Slik kan du enkelt veksle mellom treningsbilder og din egen ultralydprojeksjon. Dette er ett fantastisk hjelpemiddel og unikt for våre apparater. Abdomen Biblotek gir deg tilgang til en meget omfattende database over alle indre organer med tegninger og forklaringer samt eksempel skanninger.
Leveres som standard med:
-X-view Clear & M-View Clear
-Farge og powerdoppler
-Læringsbiblotek med 300 projeksjoner
-Fullskjerms ultralydbilde på monitor
-X-flow, Follow-up
-HD Zoom, EasyMode and EasyColor
-E-scan, Autoadjust, E-touch
-TP View and V-pan
-MyLab Desk program for editering av ultralydbilder på pc
Ergonomi:
-Stor 21,5" vridbar high-end Monitor
-Praktisk høyderegulerbar sokkel med store hjul
-75kg
-Helt lydløs med oppstart på ca 10 sekunder
-13,3″ touch skjerm med norske menyer
-4 stk USB kontakter og HDMI
-Norsk digitalt tastatur
-5 probeporter(4 aktive)
-Needle enhancement(opsjon)
-Batterisupport for minst 1. skannetime(opsjon)
-Fysisk tastatur. Forseglet og sprutsikkert(opsjon)
-Micro-V(opsjon)
-Gel varmer(opsjon)
-E-streaming(opsjon)
Brukerprofil
Du må være logget inn for å se brukerprofiler og sende meldinger.
Logg innAnnonsens metadata
Sist endret: 3.3.2026 kl. 19:52 ・ FINN-kode: 445928194
Utforsk våre nye sider for klær og mote
Ta en titt





